Advertisement intended for health care professionals

l

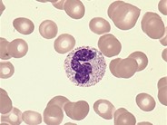
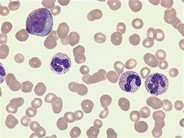
G-CSF effect - 2.

G-CSF effect - 2.
#00003662
Author: Peter Maslak
Category: Reactive Marrow > Therapy effects
Published Date: 10/01/2008

Toxic granulation is seen in the granulocytes.


Advertisement intended for health care professionals