Advertisement intended for health care professionals

l

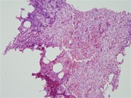
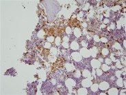
Indolent systemic mastocytosis - 2.

Indolent systemic mastocytosis - 2.
#00003581
Author: Ganesh Chandrashekar Kudva; Leonard E Grosso;
Category: Myeloid Neoplasms and acute leukemia (WHO 2016) > Mastocytosis
Published Date: 10/01/2008

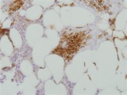
Mast cells stain positive (brown) for CD117 (c-kit). C-kit D816V mutation was detected in the bone marrow. (400×)


Advertisement intended for health care professionals