Advertisement intended for health care professionals

l

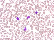
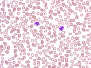
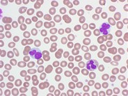
Adult T-cell leukemia/lymphoma, smoldering variant - 3.

Adult T-cell leukemia/lymphoma, smoldering variant - 3.
#00003562
Author: John Lazarchick
Category: Lymphoma: Mature T and NK cell lymphoproliferations > Mature T-cell Leukemias > Adult T-cell Leukemia/Lymphoma
Published Date: 10/01/2008

Polylobated neoplastic ("cauliflower cells") lymphocytes are noted in this view.


Advertisement intended for health care professionals