Advertisement intended for health care professionals

l

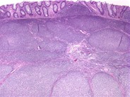
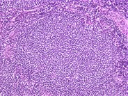
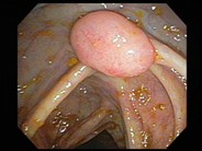
Follicular lymphoma (grade 1/3) in a hepatic flexure polyp - 4.

Follicular lymphoma (grade 1/3) in a hepatic flexure polyp - 4.
#00003483
Author: Julia M. Braza
Category: Lymphoma: Mature B-cell and Plasma cell Neoplasms > Low-grade B-cell lymphoma > Follicular Lymphoma
Published Date: 11/01/2007

The infiltrate is predominantly comosed of small lymphoid cells with irregular nuclei and small amounts of cytoplasm. There are occasional larger lymphoid cells with vesicular chromatin and distinct nucleoli (<5/HPF).


Advertisement intended for health care professionals