Advertisement intended for health care professionals

l

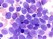
Look-alikes: APL vs Reactive Marrow - 1.

Look-alikes: APL vs Reactive Marrow - 1.
#00003469
Author: Peter Maslak
Category: Myeloid Neoplasms and acute leukemia (WHO 2016) > Acute Myeloid Leukemia > Acute Myeloid Leukemia with recurrent genetic abnormalities > AML with t(15;17)(q22;q12); PML-RARA (and variants)
Published Date: 04/01/2008

The marrow is hypercellular with a relatively homogeneous population of granulated promyelocytes. Myeloid maturation is arrested. Cells from other lineages are diminished.


Advertisement intended for health care professionals