Advertisement intended for health care professionals

l

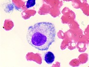
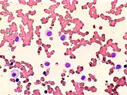
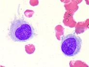
Reactive Histiocytes in the Peripheral Blood - 3.

Reactive Histiocytes in the Peripheral Blood - 3.
#00003294
Author: Peter Maslak; Paul Hamlin; Daniel Filippa;
Category: Laboratory Hematology > Basic cell morphology > Morphologic variants of white blood cells
Published Date: 03/01/2007

This cell has a foamy appearance to the cytoplasm.


Advertisement intended for health care professionals