Advertisement intended for health care professionals

l

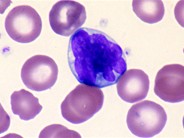
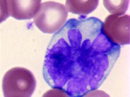
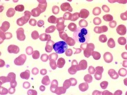
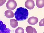
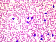
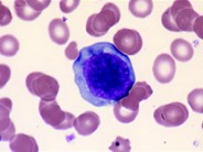
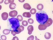
Adult T-cell Leukemia/Lymphoma - 3.

Adult T-cell Leukemia/Lymphoma - 3.
#00003178
Author: Peter Maslak
Category: Lymphoma: Mature T and NK cell lymphoproliferations > Mature T-cell Leukemias > Adult T-cell Leukemia/Lymphoma
Published Date: 07/01/2006

A high-power view shows a characteristic "flower cell."


Advertisement intended for health care professionals