Advertisement intended for health care professionals

l

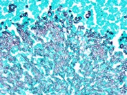
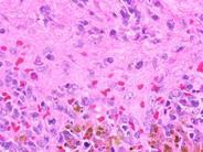
Splenic caseating granulomas - 8.

Splenic caseating granulomas - 8.
#00002892
Author: John Lazarchick
Category: Laboratory Hematology > Non-hematopoietic malignancies involving the blood or bone marrow
Published Date: 12/25/2004

At higher magnification, spore-like structures can be seen throughout the lesion.


Advertisement intended for health care professionals