Advertisement intended for health care professionals

l

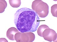
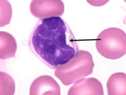
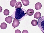
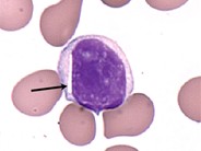
Crystalline Inclusions in Malignant Lymphocytes - 5.

Crystalline Inclusions in Malignant Lymphocytes - 5.
#00002683
Author: Peter Maslak
Category: Laboratory Hematology > Basic cell morphology > Morphologic variants of white blood cells
Published Date: 07/19/2004

Inclusions (arrow) in lymphocytes are rare but can be seen in lymphoproliferative disorders.


Advertisement intended for health care professionals