Advertisement intended for health care professionals

l

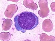
Dysplastic Erythroid Precursor - 1.

Dysplastic Erythroid Precursor - 1.
#00002524
Author: Peter Maslak
Category: Reactive Marrow
Published Date: 04/25/2004

Dysplastic erythroid precursor has open chromatin and basophilic cytoplasm. This example is from a patient with MDS.


Advertisement intended for health care professionals