Advertisement intended for health care professionals

l

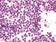
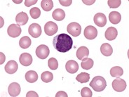
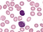
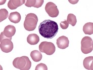
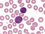
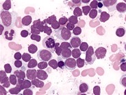
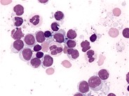
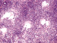
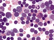
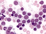
Precursor T-cell ALL - 11.

Precursor T-cell ALL - 11.
#00002445
Author: Peter Maslak
Category: Myeloid Neoplasms and acute leukemia (WHO 2016) > Precursor Lymphoid Neoplasms > T-lymphoblastic leukemia/lymphoma
Published Date: 02/23/2004

Blasts have scant cytoplasm. Some "hand mirror" forms are seen.


Advertisement intended for health care professionals