Advertisement intended for health care professionals

l

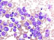
AML with inv(16) - 4.

AML with inv(16) - 4.
#00002412
Author: John Lazarchick
Category: Myeloid Neoplasms and acute leukemia (WHO 2016) > Acute Myeloid Leukemia > Acute Myeloid Leukemia with recurrent genetic abnormalities > AML with inv(16)(p13.1q22) or t(16;16)(p13.1;q22); CBFB-MYH11
Published Date: 02/14/2004

A higher magnification of the same view shows an increased blast population with an associated marked increase of dysplastic eosinophilic precursor cells typical of AML-M4e.

Advertisement intended for health care professionals