Advertisement intended for health care professionals

l

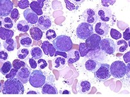
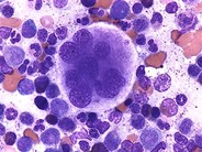
Accelerated Phase CML - 2.

Accelerated Phase CML - 2.
#00002394
Author: Peter Maslak
Category: Myeloid Neoplasms and acute leukemia (WHO 2016) > Myeloproliferative Neoplasms (MPN) > Chronic Myelogenous Leukemia (CML), BCR-ABL1+
Published Date: 01/28/2004

A modest increase in blasts can be appreciated in the high power view of the bone marrow aspirate.


Advertisement intended for health care professionals