Advertisement intended for health care professionals

l

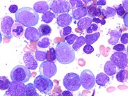
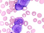
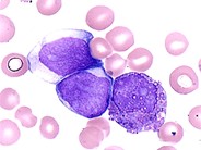
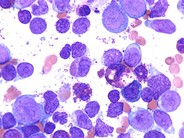
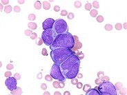
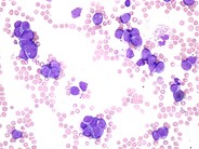
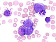
Blast Crisis of CML - 3.

Blast Crisis of CML - 3.
#00002317
Author: Peter Maslak
Category: Myeloid Neoplasms and acute leukemia (WHO 2016) > Myeloproliferative Neoplasms (MPN) > Chronic Myelogenous Leukemia (CML), BCR-ABL1+
Published Date: 01/03/2004

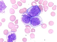
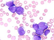
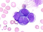
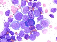
Abnormal eosinophil with large characteristic granules clusters together with immature myeloid forms.


Advertisement intended for health care professionals