Advertisement intended for health care professionals

l

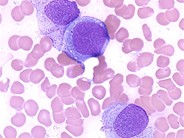
Acute Monocytic Leukemia - 4.

Acute Monocytic Leukemia - 4.
#00002301
Author: Peter Maslak
Category: Myeloid Neoplasms and acute leukemia (WHO 2016) > Acute Myeloid Leukemia > AML not otherwise specified > Acute monoblastic/monocytic leukemia
Published Date: 01/01/2004

Blasts may vary in appearance. The cytoplasm may contain fine granules or vacuoles.

Advertisement intended for health care professionals