Advertisement intended for health care professionals

l

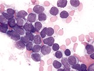
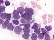
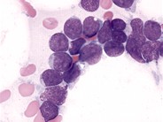
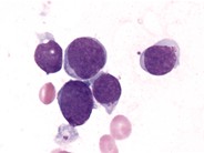
Precursor T-cell Acute Lymphoblastic Leukemia - 3.

Precursor T-cell Acute Lymphoblastic Leukemia - 3.
#00002280
Author: Peter Maslak
Category: Myeloid Neoplasms and acute leukemia (WHO 2016) > Precursor Lymphoid Neoplasms > T-lymphoblastic leukemia/lymphoma
Published Date: 12/31/2003

Blasts have an open chromatin pattern. Nucleoli are present but not distinct.


Advertisement intended for health care professionals