Advertisement intended for health care professionals

l

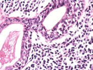
Gastric MALT Lymphoma - 1.

Gastric MALT Lymphoma - 1.
#00002191
Author: Marshall Kadin
Category: Lymphoma: Mature B-cell and Plasma cell Neoplasms > Low-grade B-cell lymphoma > Extranodal Marginal Zone Lymphoma of the mucosa-associated lymphoid tissue (MALT lymphoma)
Published Date: 10/28/2003

Lymphoepithelial lesion. Atypical lymphocytes infiltrating gastric glandular epithelium.


Advertisement intended for health care professionals