Advertisement intended for health care professionals

l

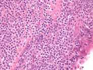
MALT Lymphoma, Lung - 2.

MALT Lymphoma, Lung - 2.
#00002183
Author: Marshall Kadin
Category: Lymphoma: Mature B-cell and Plasma cell Neoplasms > Low-grade B-cell lymphoma > Extranodal Marginal Zone Lymphoma of the mucosa-associated lymphoid tissue (MALT lymphoma)
Published Date: 10/27/2003

Lymphoepithelial lesion in bronchiolar epithelium.


Advertisement intended for health care professionals