Advertisement intended for health care professionals

l

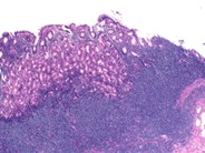
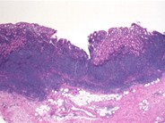
Gastric MALT Lymphoma - 2.

Gastric MALT Lymphoma - 2.
#00002072
Author: Marshall Kadin
Category: Lymphoma: Mature B-cell and Plasma cell Neoplasms > Low-grade B-cell lymphoma > Extranodal Marginal Zone Lymphoma of the mucosa-associated lymphoid tissue (MALT lymphoma)
Published Date: 05/02/2003

Marginal zone cells infiltrate lamina propria and muscularis mucosa.


Advertisement intended for health care professionals