Advertisement intended for health care professionals

l

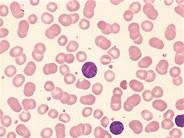
Sezary syndrome - peripheral blood

Sezary syndrome - peripheral blood
#00019389
Author: Peter Maslak
Category: Lymphoma: Mature T and NK cell lymphoproliferations > Mature T-cell Leukemias > Sezary Syndrome
Published Date: 06/17/2013

Small Sezary cells with scant cytoplasm and convoluted nuclei circulate in the peripheral blood.

Advertisement intended for health care professionals