Advertisement intended for health care professionals

l

Fungal Inclusions in WBCs - 1.

Fungal Inclusions in WBCs - 1.
#00001786
Author: John Lazarchick
Category: Infectious Disease > Fungi > Cryptococcus  
Published Date: 10/15/2002

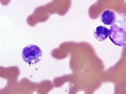
Peripheral smear from a patient with AIDS who was septic. A cytoplasmic inclusion is noted(arrow) in the monocytoid cells that was identified as Cryptococcus.


Advertisement intended for health care professionals