Advertisement intended for health care professionals

l

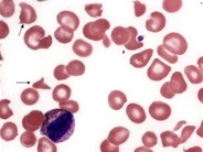
platelet clump in peripheral blood smear

platelet clump in peripheral blood smear
#00017754
Author: Jianfeng Zhu
Category: Platelet and Megakaryocyte Disorders
Published Date: 04/12/2013

Platelet clump on the marginal of the peripheral blood smear.

Advertisement intended for health care professionals