Advertisement intended for health care professionals

l

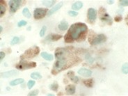
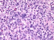
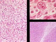
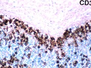
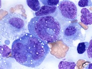
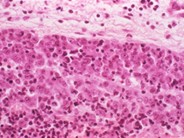
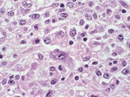
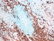
Anaplastic Large Cell Lymphoma - 8.

Anaplastic Large Cell Lymphoma - 8.
#00001769
Author: Marshall Kadin
Category: Lymphoma: Mature T and NK cell lymphoproliferations > Mature T-cell Lymphomas > Anaplastic Large Cell Lymphoma, ALK positive
Published Date: 10/09/2002

Anaplastic large cell lymphoma - Lymphohistiocytic variant


Advertisement intended for health care professionals