Advertisement intended for health care professionals

l

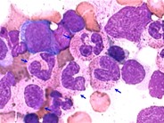
Normal bone marrow - 1.

Normal bone marrow - 1.
#00001709
Author: Peter Maslak
Category: Laboratory Hematology > Normal and reactive bone marow
Published Date: 08/30/2002

High power view of normal bone marrow. Maturing granulocytic forms are marked by the arrows.


Advertisement intended for health care professionals