Advertisement intended for health care professionals

l

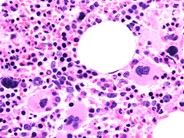
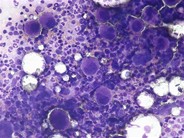
Bone Marrow ITP

Bone Marrow ITP
#00016992
Author: teaching collection Vicky Smith
Category: Platelet and Megakaryocyte Disorders > Thrombocytopenia > Increased destruction or consumption of platelets > Idiopathic Thrombocytopenic Purpura
Published Date: 03/09/2013

Bone marrow from a patient with post viral ITP. The marrow shows an increase number of megakaryocytic, especially immature forms.

Advertisement intended for health care professionals