Advertisement intended for health care professionals

l

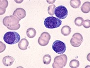
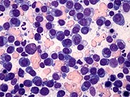
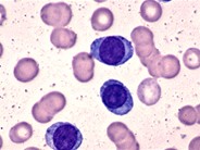
Plasma Cell Leukemia - 3.

Plasma Cell Leukemia - 3.
#00001669
Author: Peter Maslak
Category: Lymphoma: Mature B-cell and Plasma cell Neoplasms > Plasma Cell Neoplasm
Published Date: 07/19/2002

Immature plasma cell with nuclear protrusion circulates in the peripheral blood of a patient with plasma cell leukemia (MacNeal Tetrachrome 1000x)


Advertisement intended for health care professionals