Advertisement intended for health care professionals

l

Normal Lymphoid Tissues: Part 4 - 5.

Normal Lymphoid Tissues: Part 4 - 5.
#00001642
Author: Nancy Lee Harris
Category: Reactive Marrow > Reactive changes
Published Date: 06/20/2002

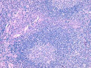
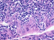
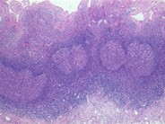
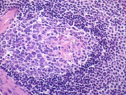
The T cell zones are architecturally similar to those of lymph nodes, with numerous interdigitating dendritic cells (IDC).


Advertisement intended for health care professionals