Advertisement intended for health care professionals

l

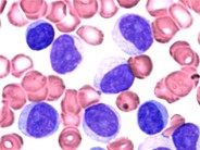
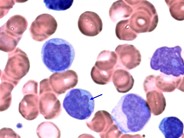
T-cell Prolymphocytic Leukemia - 5.

T-cell Prolymphocytic Leukemia - 5.
#00001522
Author: Peter Maslak
Category: Lymphoma: Mature T and NK cell lymphoproliferations > Mature T-cell Leukemias > T cell Prolymphocytic Leukemia
Published Date: 12/05/2001

High-power view of prolymphocytes. The characteristic nucleoli are appreciated in this aspirate although they are often better seen in the peripheral blood (100X MacNeal tetrachrome).


Advertisement intended for health care professionals