Advertisement intended for health care professionals

l

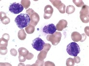
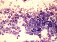
Mast cell leukemia

Mast cell leukemia
#00013858
Author: Peter Maslak
Category: Myeloid Neoplasms and acute leukemia (WHO 2016) > Acute Myeloid Leukemia > AML not otherwise specified
Published Date: 09/18/2012

Some of the circulating mast cells spontaneously degranulate.


Advertisement intended for health care professionals