Advertisement intended for health care professionals

l

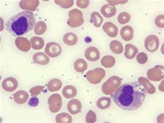
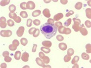
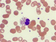
Pelger-Huet anmoly variants - 3.

Pelger-Huet anmoly variants - 3.
#00001263
Author: John Lazarchick
Category: Laboratory Hematology > Basic cell morphology > Morphologic variants of white blood cells > Hyposegmented neutrophil   > True Pelger Huet  
Published Date: 12/01/2010

The image illustrates another example of Pelger-Huet anomaly.


Advertisement intended for health care professionals