Advertisement intended for health care professionals

l

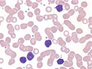
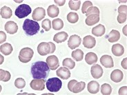
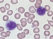
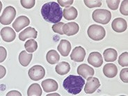
Adult T-cell leukemia / lymphoma

Adult T-cell leukemia / lymphoma
#00011863
Author: Peter Maslak
Category: Lymphoma: Mature T and NK cell lymphoproliferations > Mature T-cell Leukemias > Adult T-cell Leukemia/Lymphoma
Published Date: 05/30/2012

Cells have irregular nuclei which are deeply convoluted. Some cells have nucleoli.


Advertisement intended for health care professionals