Advertisement intended for health care professionals

l

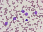
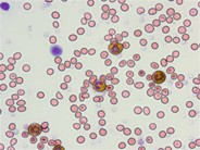
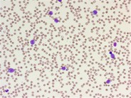
AML-M0 - 4.

AML-M0 - 4.
#00001130
Author: John Lazarchick
Category: Myeloid Neoplasms and acute leukemia (WHO 2016) > Acute Myeloid Leukemia > AML not otherwise specified > AML with minimal differentiation
Published Date: 06/01/2010

The majority of blast were negative on myeloperoxidase staining with only a rare cell showing a tinge of positivity. A neutrophil in the upper left serves as a positivie internal control.


Advertisement intended for health care professionals